Preventing Cavities: Essential Tips for Everyone
Learn how to prevent cavities and tooth decay in kids and adults with simple oral hygiene tips, diet changes, and expert advice. Protect your smile today!
How to Prevent Cavities and Tooth Decay in Children and Adults
Picture a bright, confident smile that lasts a lifetime. Yet, tooth decay strikes millions yearly, causing pain, costly treatments, and missed opportunities. It’s a silent problem affecting kids and adults alike, but it doesn’t have to be your story. With practical steps, you can prevent cavities and keep your teeth strong. This guide dives deep into effective strategies, offering solutions to protect your family’s oral health for years to come.
Understanding Tooth Decay Basics
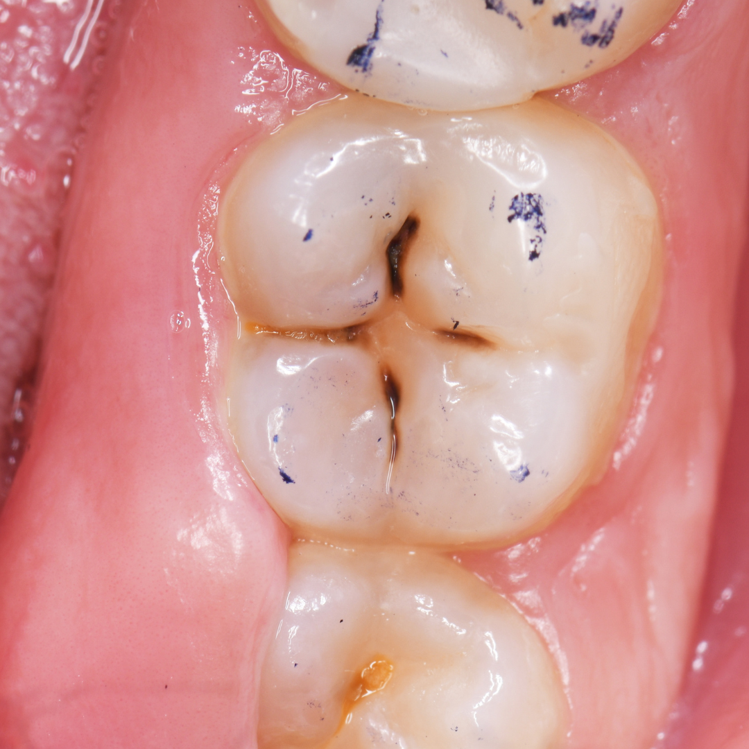
Tooth decay sneaks up quietly but grows fast. It starts when bacteria in your mouth feed on sugars, producing acids that erode enamel, the hard outer layer of teeth. Over time, this erosion forms cavities, tiny holes that can deepen into painful infections if ignored. Plaque, a sticky bacterial film, builds up when brushing is skipped, allowing acids to linger. Sugary snacks, dry mouth, or certain medications increase the risk by reducing saliva, which naturally cleans teeth. For children, baby bottle habits can trigger decay, while adults face issues from gum recession or aging fillings. Decay in baby teeth can misalign permanent ones, and adults often see root decay as gums pull back. Knowing these risks empowers you to act early. For a deeper look, explore what causes tooth pain.
Daily Oral Hygiene Practices
A solid oral hygiene routine is your first defense against cavities. Brushing twice daily with fluoride toothpaste strengthens enamel and fights acid damage. Use a soft-bristled brush, moving in gentle circles for two minutes to clean all surfaces—outer, inner, and chewing areas. Angle the brush at 45 degrees to reach the gum line, where plaque hides. For kids, parents should supervise until age six, using a pea-sized dab of paste to avoid over-fluoridation. Replace brushes every three months or when bristles fray, as worn brushes clean less effectively. Electric toothbrushes, with their timed cycles, can enhance plaque removal for those who struggle with manual brushing.How Often Dental Checkup Needed – Healthhype
Flossing daily clears debris from between teeth, where brushes can’t reach. Wrap 18 inches of floss around your fingers, curving it into a C-shape to hug each tooth, gently scraping along the sides and gum line. Waxed floss or floss picks ease the process, especially for children starting at age two when teeth touch. Mouthwash with fluoride adds another layer, killing germs and reinforcing enamel. Swish for 30 seconds after brushing, but avoid it for kids under six, who might swallow it. Cleaning the tongue with a scraper or brush reduces bacteria, freshening breath and lowering decay risk. For more tips, check out best ways for good oral hygiene at home.
Diet’s Role in Prevention
What you eat shapes your oral health. Sugary foods like candy, soda, or cookies feed bacteria, leaving acids on teeth for hours. Cutting back on these treats and choosing water over sugary drinks reduces acid exposure. Even natural sugars in juice can harm if sipped constantly, so limit portions and use straws to bypass teeth. Tooth-friendly foods like cheese, yogurt, or nuts neutralize acids and boost saliva, which washes away debris. Crunchy vegetables like carrots scrub teeth naturally, while calcium-rich dairy strengthens enamel. Green tea contains compounds that curb bacterial growth, offering a simple daily boost.
Timing matters as much as food choice. Frequent snacking keeps acid levels high, so aim for balanced meals with breaks in between. Chewing sugar-free gum, especially with xylitol, after meals stimulates saliva and slows germ growth. For kids, avoid bedtime bottles with milk or juice, as sugars pool overnight, inviting decay. Adults should limit alcohol and coffee, which dry the mouth, and stay hydrated with water to rinse food particles. Learn more about dietary impacts in our guide on furry teeth feeling and how to avoid it.
Fluoride’s Protective Power
Fluoride stands as a cornerstone in cavity prevention. It rebuilds weakened enamel, making teeth more resistant to acid attacks. Most tap water contains safe fluoride levels, cutting decay rates by up to 25% in communities with fluoridation. If your water lacks it, supplements or professional treatments like gels and varnishes offer added protection. For children, start with a rice-sized smear of fluoride toothpaste at age three, moving to pea-sized by six to avoid excess intake, which can cause white spots on teeth. Adults with dry mouth or gum recession benefit from fluoride rinses or dentist-applied treatments, especially if medications reduce saliva.
Fluoride’s safety is well-documented at recommended levels, debunking myths about harm. It’s a cost-effective tool, reducing the need for fillings and saving billions in dental costs globally. For a detailed breakdown, read about fluoride effects and risks.
Importance of Dental Checkups
Regular dental visits catch problems before they escalate. Biannual checkups allow professionals to remove tartar, a hardened plaque that brushing can’t touch, preventing gum disease. X-rays reveal hidden decay, and sealants—thin coatings on back teeth—block food and germs, lasting up to a decade. Children benefit most from sealants, but adults with deep grooves can too. During visits, discuss medications or conditions like diabetes that raise decay risk, as dentists can tailor solutions like special pastes or rinses.
Kids should see a dentist by age one to build comfort and catch issues early. Adults with past fillings need monitoring, as cracks invite new decay. Consistent visits save money and pain in the long run. For more on dental care, see why regular checkups matter.
Caring for Children’s Teeth
Children’s teeth demand special attention. Baby teeth, though temporary, guide permanent ones, and decay in them spreads quickly due to softer enamel. Clean gums with a soft cloth before teeth appear, then brush gently with water at the first tooth. By age two, introduce fluoride paste in tiny amounts. Supervise brushing to ensure proper technique, using fun tools like timers or apps to make it engaging. Limit sticky snacks like dried fruit, opting for cheese or apples instead, and ban bottles at bedtime to prevent sugar pooling.
Sealants applied by dentists cut decay risk by half, offering a shield for hard-to-clean back teeth. Discourage prolonged pacifier use or thumb-sucking after age two, as these alter bite alignment. Regular checkups from infancy build lifelong habits. For child-specific concerns, explore loose teeth in children.
Adult Oral Health Strategies
Adults face unique challenges as teeth age. Gum recession exposes roots, which lack enamel’s strength, inviting decay. Stress-related grinding wears enamel, so night guards can protect teeth during sleep. Smoking or heavy alcohol use dries the mouth and harms gums, raising cavity risk, so quitting or cutting back helps. Chronic conditions like diabetes worsen decay odds, making blood sugar control vital. Aging thins enamel naturally, so switch to soft brushes and sensitivity toothpaste to ease discomfort.
Dry mouth, common with medications or age, reduces saliva’s cleansing power. Sugar-free gum or saliva sprays help, and staying hydrated is key. For adults, consistent hygiene and checkups prevent costly repairs. Learn more about gum swelling causes.
Lifestyle and Tooth Health
Your daily habits shape oral health beyond brushing. Regular exercise boosts saliva flow, aiding natural cleaning. Poor sleep or high stress triggers grinding, so practices like yoga or meditation reduce clenching. Drinking water throughout the day washes away food and fights dry mouth, while limiting alcohol preserves saliva levels. Smoking cessation improves gum health, lowering decay risks.
For oral infections tied to lifestyle, check our guide on oral thrush prevention.
Debunking Decay Myths
Misconceptions about cavities abound. Many think sugar alone causes decay, but frequency of exposure matters more. Constant snacking is worse than a single dessert. Another myth claims only kids get cavities, yet adults face equal risks from receding gums or failing fillings. Hard brushing is often seen as better, but it strips enamel, worsening decay. Fluoride’s safety is questioned, yet studies confirm its benefits at proper doses. Early decay can even reverse with fluoride and care, contrary to beliefs that it’s permanent. For related myths, read about morning breath causes.
Advanced Prevention Techniques
For extra protection, consider advanced tools. Electric toothbrushes with pressure sensors clean better without harming gums. Water flossers excel for braces or tight spaces, blasting away debris. Oral probiotics, found in certain lozenges, balance mouth bacteria, reducing decay-causing germs. Oil pulling with coconut oil may cut plaque, though evidence is mixed. Tracking habits with apps ensures consistency, reminding you to brush or floss.
Dentists now use silver diamine fluoride to halt early decay without drilling, ideal for kids or high-risk adults. Custom fluoride trays deliver targeted treatment for those prone to cavities. Recent guidelines advocate minimal drilling for moderate decay, preserving more natural tooth structure. These innovations make prevention easier than ever.Dental Cavities, Tooth Decay Causes, Prevention and Treatment – Healthhype
Effective Home Remedies
Simple home remedies complement professional care. Rinsing with a baking soda solution neutralizes acids, but use sparingly to avoid enamel wear. Clove oil soothes pain temporarily, though dentist visits are essential for lasting fixes. Drinking green tea daily leverages its antioxidants to fight bacteria. Vitamin D, from sunlight or diet, supports enamel strength. Avoid abrasive home whiteners, as they weaken teeth. For saliva-related issues, see low saliva causes.
Decay’s Broader Health Impact
Tooth decay isn’t just a dental issue. Bacteria from cavities can enter the bloodstream, raising heart disease risk. Poor oral health worsens diabetes control, creating a vicious cycle. Pregnant women with decay face higher odds of preterm birth, affecting newborn health. Kids with dental pain miss school, impacting learning, while adults lose workdays, costing billions annually. Preventing cavities saves more than teeth—it protects your overall well-being.Dental Cavities, Tooth Decay Causes, Prevention and Treatment – Healthhype
Community Prevention Efforts
Communities play a vital role in oral health. School sealant programs target low-income kids, reducing decay at no cost. Water fluoridation benefits entire cities, cutting cavity rates significantly. Local clinics offer affordable checkups, and dental health campaigns raise awareness. Share this article on social media to spread prevention tips and join events like National Dental Health Month to promote community action.Prevent Tooth Decay Gingivitis Effectively – Healthhype
Spotting Early Decay Signs
Catching decay early saves teeth. Look for white spots on enamel, signaling early mineral loss. Sensitivity to cold or sweets suggests thinning enamel, while persistent bad breath points to plaque buildup. Bleeding gums during brushing may indicate early gum disease, a decay accomplice. Act quickly with fluoride paste or professional advice to reverse damage. For gum disease insights, visit what is gum disease.
Recommended Dental Tools
Choosing the right tools boosts prevention. Soft-bristled brushes like Oral-B prevent enamel wear. Fluoride toothpastes from Colgate or Crest strengthen teeth effectively. Glide floss slides easily for daily use, while Listerine’s fluoride mouthwash kills germs. For kids, flavored pastes make brushing fun. Sonicare electric brushes ensure thorough cleaning with timers. Always read labels for fluoride content to maximize benefits.
Long-Term Prevention Benefits
Preventing cavities pays off for life. Strong teeth let you enjoy favorite foods without pain. A healthy smile boosts confidence, improving social and work life. Avoiding fillings or root canals saves thousands in dental bills. Kids develop habits that last, while adults age with fewer dental woes. Start now to reap these rewards. Share this guide on social platforms to inspire others.
In 2025, dental experts emphasize fluoride, sealants, and xylitol products as top prevention tools. Consistent brushing, smart eating, and regular checkups keep decay at bay. Protect your smile today for a healthier tomorrow.
External References:
- National Institute of Dental and Craniofacial Research: Tooth Decay Process
- American Dental Association: Fluoride in Water
- Centers for Disease Control and Prevention: Children’s Oral Health
- CDC Oral Health Surveillance Report 2024
- World Health Organization: Oral Health

